A flawless smile is something we all desire, but sometimes certain imperfections can affect the appearance of our teeth. One common issue is the presence of white spots or areas of enamel demineralization, which can be caused by factors such as braces, cavities, or developmental deficiencies. If you're looking for a minimally invasive and effective solution to treat these white spots and restore the natural beauty of your smile, look no further than ICON resin infiltration.
What is ICON Resin Infiltration?
ICON resin infiltration is an innovative dental treatment technique designed to address white spots on teeth without the need for drilling or extensive tooth preparation. It offers a conservative approach that can effectively mask the white spots, resulting in a more uniform and aesthetically pleasing smile.
How Does ICON Resin Infiltration Work?
The procedure begins with the careful assessment of the white spots by a qualified dentist. If the spots are determined to be suitable for ICON resin infiltration, the treatment can proceed. Here's a step-by-step breakdown of the process:
- Preparation: The affected tooth surface is gently etched using a mild acid. This creates micro-pores in the enamel, allowing for the penetration of the resin material.
- Infiltration: A low-viscosity resin material, specifically designed for infiltration, is applied to the tooth surface. The resin seeps into the porous enamel, effectively masking the white spots and blending them with the natural tooth color.
- Curing: A curing light is used to activate the light-curing component in the resin material. This hardens and stabilizes the resin, ensuring its durability and longevity.
- Final Touches: After the resin has been cured, the dentist will make any necessary adjustments to ensure a seamless integration with the surrounding tooth structure. The result is a beautifully enhanced smile with diminished white spots.
Other Popular Articles
Benefits of ICON Resin Infiltration
ICON resin infiltration offers several advantages over traditional restorative methods. Here are some key benefits worth noting:
- Minimally Invasive: Unlike drilling or extensive tooth preparation, ICON resin infiltration preserves the natural tooth structure, requiring minimal intervention.
- Aesthetically Pleasing Results: The resin material effectively masks white spots, blending them with the surrounding tooth color, and restoring the natural beauty of your smile.
- Long-lasting Solution: The resin used in ICON infiltration is durable and designed to provide lasting results, ensuring your smile remains beautiful for years to come.
- Conservative Approach: With ICON resin infiltration, the need for more invasive restorative treatments, such as fillings or veneers, can often be avoided, leading to a more conservative treatment process.
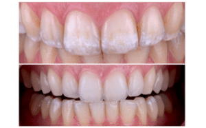
ICON Resin Infiltration Before and After
https://www.dmg-america.com/en/products/product/icon-smooth-surface/
If you've been struggling with unsightly white spots on your teeth, ICON resin infiltration can be a game-changer for restoring your smile's natural beauty. With its minimally invasive nature and impressive aesthetic results, this innovative dental treatment technique offers a conservative and effective solution. Consult with a qualified dentist to determine if ICON resin infiltration is the right option for you and take the first step towards achieving the flawless smile you deserve.

Dr. Thomas is a general dentist that loves sharing information about all aspects of dentistry, but is passionate about digital and implant dentistry. Dr. Thomas received his DMD degree from Tufts University School of Dental Medicine and continues to find helpful ways to inform and educate people about dental procedures and products.
Are you looking for a second opinion? Dr. Thomas is the CEO of Opinion Two Nonprofit Organization. Opinion Two is available online or on mobile app and it allows patients to receive dental second opinions with top US-licensed dentists. All proceeds are used to benefit future generations of dentists through scholarships and benefits to pre-dental programs.
Website Education Committee — Academy of Osseointegration (AO)
Dr. Thomas contributes to AO’s website education strategy, applying advanced web development and SEO expertise to elevate online continuing education.
- Creates and curates online CE content and resources.
- Supports SEO and web communications initiatives for AO.
- Advises on UX and performance metrics to improve learning impact.







